Llame o envíe un mensaje de texto para un evaluación confidencial gratuita

Lesiones Cerebrales Traumáticas

Lesiones Cerebrales Traumáticas

Lesiones Cerebrales Traumáticas

¿Qué se considera una lesión cerebral traumática?

Una lesión resultante de un contacto intenso con la cabeza, daño al cerebro o penetración del tejido cerebral se clasifica como una lesión cerebral traumática . Las causas de lesiones cerebrales traumáticas pueden incluir lesiones sufridas en incidentes de resbalones y caídas , accidentes automovilísticos y deportes, combate e impacto relacionado con la violencia.

Hay tres clases de lesiones cerebrales traumáticas: leves, moderadas y graves. Las lesiones se clasifican en esta escala según el impacto de la lesión en la función cerebral.

¿Qué le sucede al cerebro durante una lesión cerebral traumática?

Una lesión cerebral traumática leve puede detectarse por síntomas de pérdida del conocimiento y confusión, náuseas, fatiga, cambios en el sueño, problemas del habla, visión borrosa, sensibilidad a la luz y al sonido, problemas de memoria, cambios de humor y más. En los casos de una lesión cerebral traumática leve, las células cerebrales pueden dañarse temporalmente y los síntomas pueden aparecer inmediatamente o hasta semanas después del incidente.

Las lesiones cerebrales traumáticas de moderadas a graves pueden dañar gravemente el cerebro, con heridas potenciales que incluyen hematomas, sangrado y desgarros de tejido. Una lesión cerebral traumática de moderada a grave puede presentar síntomas similares a los síntomas de una lesión cerebral traumática leve, además de convulsiones, convulsiones, entumecimiento, problemas de coordinación, dilatación de las pupilas, líquido en la nariz y los oídos y coma. En general, una lesión cerebral traumática de moderada a grave exhibirá síntomas más elevados en comparación con una lesión leve.

Una lesión cerebral traumática puede contribuir a varias complicaciones y efectos a largo plazo . Estas lesiones pueden resultar en coma, estado vegetativo o muerte. Con el tiempo, una víctima puede desarrollar convulsiones, vértigo, hidrocefalia, daño sensorial, problemas cognitivos, problemas de comunicación, cambios en el comportamiento y el estado de ánimo y varias otras interrupciones en la función cerebral.

Tratamiento de lesiones cerebrales traumáticas

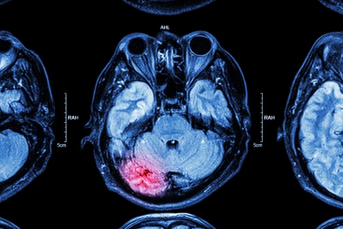
Una lesión cerebral traumática se puede diagnosticar a través de pruebas que examinan la coherencia y la capacidad de movimiento del paciente. Los médicos usan pruebas de imágenes, como una tomografía computarizada o una resonancia magnética, para ver el daño en el cerebro.

Cualquier lesión cerebral traumática debe recibir atención médica inmediata. Una lesión cerebral traumática leve a menudo solo requerirá reposo y una estrecha vigilancia. Para lesiones más graves, un plan de tratamiento puede incluir medicamentos, cirugía y rehabilitación continua.

Si usted o un ser querido ha sufrido una lesión cerebral traumática causada por la negligencia de otra persona, las Oficinas Legales de Jennie Levin, PC pueden ayudarlo. Contáctenos en línea o llame al (323) 951-1188 para hablar con nuestro abogado.